Revista Peruana de Investigación en Salud, ISSN: 2616 - 6097
https://doi.org/10.35839/repis.3.4.597

Estrategia invasiva en Angina inestable de Alto riesgo

Invasive strategy in high risk unstable Angina

 

Rodolfo Vega-Candelario1,a,*

1Facultad de Ciencias Médicas de Ciego de Ávila, Cuba

aCardiólogo. Jefe de Servicio de Cardio-logía. Hospital Provincial Docente ¨Roberto Rodríguez Fernández, Morón, Ciego de Ávila, Cuba.

Correspondencia: E-mail:rvc_50@infomed.sld.cu

Orcid ID: *https://orcid.org/0000-0003-4459-8350


Recibido el 12 de diciembre de 2019

Aceptado para publicación: 28 de enero de 2020


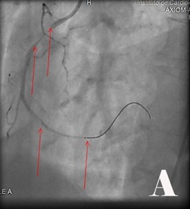
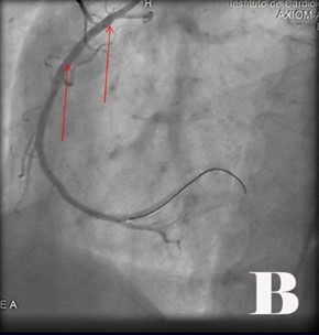
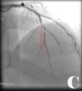
Fig. Abordaje invasivo emergente en paciente con Angina inestable de Alto riesgo y cambios electrocardiográficos atípicos con FEVI muy baja.

Hombre de 58 años, después de un estrés severo en su trabajo comenzó con dolor intenso, retroesternal, irradiado a mandíbula y ambos miembros superiores, sudoración profusa, palidez, vómitos y sensación de muerte inminente con duración de más de una hora. Se recibe por cardiólogo e intensivista en emergencia, con ruidos cardiacos arrítmicos, tercer ruido cardíaco izquierdo y estertores crepitantes finos en ambos bases pulmonares. Se monitoriza cardiovascularmente y las medidas de apoyo como reposo, oximetría, oxigenoterapia y cuidados de su hemodinamia.

En electrocardiogramas, hubo inestabilidad como ST deprimido con T negativa, simétrica, muy profunda en toda la cara anterior (V1,V2,V3,V4,V5,V6) (ECG:I), luego bloqueo de rama izquierda (ECG:II), La troponina, la CPKMB y CPK se mantuvieron normales. El cuadro clínico se hace más intenso y peligroso en unidad de cuidados intensivos coronarios, con ángor mantenido e intenso, palidez, disnea, palpitaciones, sudoración, arritmias, disfunción sistólica de VI e inicia compromiso hemodinámico, se le administra nitroglicerina sublingual y luego intravenosa hasta 0,5 mcg/Kg/min. Se apoya con Dobutamina. En ecocardiograma: fracción ventricular izquierda (FEVI) de 36 %. Por gravedad de cuadro clínico, electrocardiográfico y FEVI, se agilizó la activación del servicio de hemodinámica. Se cumplió abordaje hemodinámico emergente y resultó (Fig.).

Fig. Se visualizó obstrucciones largas proximal y distal de 90 % de coronaria derecha (CD) (2A). Se realizó ACTPs y coloco 2 Stens convencionales (2B). Obstrucción de tercio proximal de 90 % de arteria coronaria de descendente anterior (DA) y del 95 % de la circunfleja izquierda (CX) (2C), se le realizó ACTP y colocó Stens a la DA fármacoactivo pero por el riego-beneficio se decidió no hacer nada en CX (2D).

Es importante que ante la presencia de Angina inestable de Alto riesgo es necesario el intervencionismo invasivo y evitar demoras en la atención, pudiendo llevar a complicaciones desbastadoras o fatales (1-3).

Referencias

1.Valle Alonso J, Carlos Alberto González Marante CA, Bandera S. Presentaciones electrocardiográficas atípicas en pacientes con síntomas isquémicos, tiempo de cambiar la estrategia. Rev Cubana de Cardio y Cirugía Cardiovascular [Internet]. 2017[citado 21/12/2019]; 23(3): 43-52 Disponible en: http://www.revcardiologia.sld.cu/index.php/revcardiologia/article/view/713/pdf_103

2.Nelson Leandro Moreno-Ruiz NL. Modificación de los criterios de Sgarbossa para el diagnóstico de infarto agudo de miocardio en presencia de bloqueo de rama izquierda. Rev. Fac. Med.[Internet]. 2015[citado 22/12/2019]; 63(1):151-4.Disponible en: http://www.scielo.org.co/pdf/rfmun/v63n1/v63n1a19.pdf

3.Smith SW. Updates on the electrocardiogram in acute coronary syndromes. Current Emergency and Hospital Medicine Reports.[Internet]. 2013 Mar 1[citado 22/12/ 2019]; 1(1):43-52. Disponible en: https://link.springer.com/content/pdf/10.1007%2Fs40138-012-0003-1.pdf


Esta obra está bajo una Licencia Creative Commons